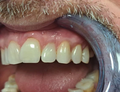
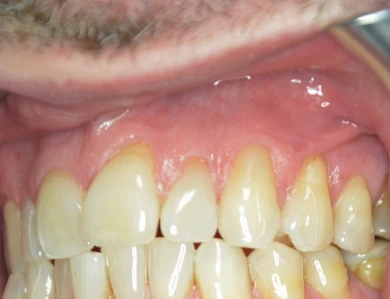
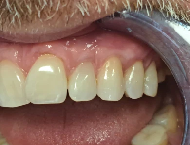
Recession coverage on Four Upper Teeth

Our patient was bothered by too long teeth, exposed tooth necks, and tooth sensitivity to cold. We performed a procedure to cover the gum recession with a connective tissue graft from the palate. The recessions on four teeth on the left side of the upper jaw were completely covered. The patient left our office with a healthy, aesthetic smile and satisfaction.

Zobacz również

Coverage of Recession of the Right Upper Tooth

The patient complained about hypersensitivity to cold and the elongation of her right upper tooth […]

Improving Aesthetics After Orthodontic Treatment

Our patient had multiple discolored teeth and composite fillings placed many years ago. After successful […]

Transformed Healthy and Bright Smile of the Patient

The patient had severely damaged crowns on both the upper and lower teeth, as well […]

Changing the Shape and Color of Upper and Lower Teeth

The patient was unhappy with the shape of her upper and lower teeth, the gaps […]