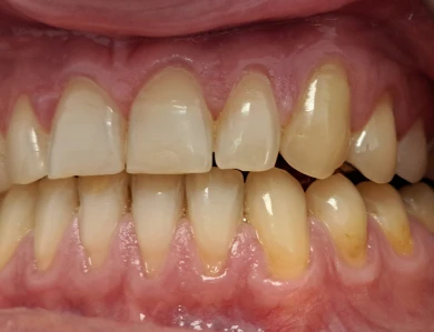
Coverage of Recession on 3 Upper Teeth

The patient was bothered by exposed tooth necks on the left side of the upper jaw. We performed a plastic periodontal surgery procedure, covering the recession with subepithelial connective tissue grafts. The procedure resulted in 100% coverage of the exposed tooth necks, restoring both aesthetics and comfort for the patient.

Zobacz również

Beautiful New Smile – Aesthetic Reconstruction of Teeth

We performed comprehensive dental treatment: hygienisation, treatment of carious lesions, root canal therapy, and prosthetic […]

Transformed Healthy and Bright Smile of the Patient

The patient had severely damaged crowns on both the upper and lower teeth, as well […]

Coverage of Recession of the Right Upper Tooth

The patient complained about hypersensitivity to cold and the elongation of her right upper tooth […]

Harmonious Brightened Smile of the Patient

The patient was bothered by a discolored upper right lateral incisor and a left lateral […]