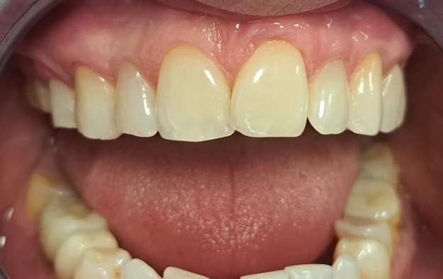
Harmonious Brightened Smile of the Patient

The patient was bothered by a discolored upper right lateral incisor and a left lateral incisor that was recessed compared to the others. The discolored tooth was endodontically treated many years ago and required retreatment. After that, we performed prosthetic treatment – full-ceramic veneers on both teeth. The right lateral incisor obtained a new shape and color, while the left was repositioned properly in the upper arch. We achieved a harmonious, brightened smile, and the patient is very happy with the result.

Zobacz również

Coverage of Recession of the Right Upper Tooth

The patient complained about hypersensitivity to cold and the elongation of her right upper tooth […]

Harmonious Brightened Smile of the Patient

The patient was bothered by a discolored upper right lateral incisor and a left lateral […]

Transformed Healthy and Bright Smile of the Patient

The patient had severely damaged crowns on both the upper and lower teeth, as well […]

Recession coverage on Four Upper Teeth

Our patient was bothered by too long teeth, exposed tooth necks, and tooth sensitivity to […]